Orthodontic problems can affect both children and adults — even those who wore braces when they were young. That's because teeth are more mobile than you might think. In fact, teeth move very gradually all the time in response to the normal forces of biting and chewing. But the teeth can also be pushed out of proper alignment when, for example, young children develop unhealthy habits such as thumb sucking or tongue thrusting. These and other orthodontic problems usually become apparent around age 7, when the permanent teeth have started to come in. That's why an orthodontic evaluation is recommended for all kids at this age.
Adults often see their teeth begin to crowd toward the center of the mouth. Your bite may also shift into poor alignment due to a missing tooth. But it's good to know that no matter what your age, orthodontic treatment is available for all of the common orthodontic problems listed below — provided your teeth and gums are healthy. It's also important to remember that wearing a retainer after any orthodontic treatment will help preserve the results for as long as possible.

Abnormal eruption
Abnormal eruption is when a tooth emerges through the gum in the wrong place. If the tooth is blocked from growing in fully (a situation called impaction), a minor oral surgical procedure may be required to uncover the tooth before orthodontic treatment begins.

Crossbite
Crossbite is when one or more of the upper teeth bite inside the lower teeth rather than outside. This is usually related to misalignment of the upper and lower jaws. In a child who is still growing, widening the upper jaw with an orthodontic appliance called a palatal expander may solve the problem.

Crowding
Crowding results from a lack of space for the teeth to fit normally within the jaws, either because the teeth are too big or the jaws are too small. Possible solutions may include removing some teeth and/or making more room in the jaws with a palatal expander or through a surgical procedure.

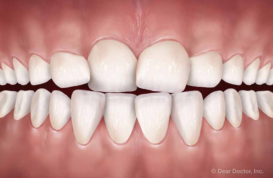
Excessive spacing
Excessive spacing may result when one or more teeth fail to grow in, are lost to trauma or disease, or there is a discrepancy between jaw size and tooth size. It's important to close the gaps because excessive space allows nearby teeth to shift out of position.

Open bite
Open bite occurs when the upper and lower front teeth do not come together when biting, resulting in an open space between the two. This is often the result of tongue thrusting (also called infantile swallowing pattern) and/or prolonged thumb sucking.

Overbite
Overbite (deep bite) is when the upper front teeth bite too far down over the lower teeth. Sometimes the bite is so deep that the upper teeth cover the lower teeth completely, forcing the lower teeth to bite into the roof of the mouth (palate). This often results from a discrepancy in jaw size.

Overjet
Overjet (protrusion) is when the upper front teeth extend too far forward or the lower teeth don't extend far enough forward. This may be related to genetics, improper jaw development, missing lower teeth and/or improper alignment of molars. Thumb sucking or tongue thrusting can exacerbate the problem.

Underbite
Underbite occurs when the lower front teeth extend past the upper front teeth. It can be caused by overgrowth of the lower jaw and/or undergrowth of the upper jaw. Depending on the severity, treatment may involve conventional orthodontics and/or jaw (orthognathic) surgery.
If you are concerned about the alignment of your teeth, or your children's teeth, please schedule a consultation at the dental office. We would be happy to advise you about your treatment options.
Related Articles

The Magic of Orthodontics Proper alignment of the teeth is basic to "Smile Design." Their position dictates how they work together and affects the way you look and smile. Only orthodontic treatment can move teeth into the right position. Simply put, when things look right, they probably are right. Learn the basics of smile analysis and design and whether the magic of orthodontics will work for you... Read Article

Palatal Expanders Orthodontics is more than just moving teeth. Orthodontists, with their advanced training in growth and development, have a variety of techniques and appliances besides braces at their disposal to correct bite problems. One of these is the palatal expander, which is used to create more room for an adolescent's permanent teeth. It does so by gently and gradually spreading apart the bones of the palate (roof of the mouth), which don't permanently fuse together until shortly after puberty... Read Article

How Thumb Sucking Affects The Bite Thumb sucking can actually block the front teeth from erupting fully and can also push the teeth forward — sometimes more on the side where the thumb rested. How far out of position the teeth end up will depend on the number of hours per day the thumb was in the child's mouth and how much pressure was applied. When the pressure exerted by the thumb in the mouth is particularly strong and occurs over a long period of time, the forces can potentially influence growth of the jaws... Read Article